Incidental Meningioma
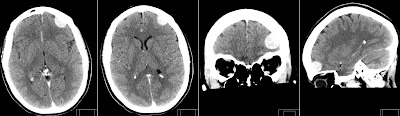
Incidental Meningioma found on Non Contrast CT (NCCT) scan of a patient after a small trauma. Note that this extraaxial tumor is rather difficult to detect on NCCT.
Measured density of Meningioma is just slightly hyperdense to adjacent normal brain parenchyma on NCCT. This makes Meningiomas sometimes difficult to detect.
After iv contrast is given Meningioma shows typical homogeneous intensive contrast enhancement. This is our standard C35 W70 brain CT window.
However note that tumor delineation is much better on a broader CT window with higher center value of C50 W150. This setting is also useful for detection of hemorrhage and pathology in the skull base region, especially after iv contrast.
Measured density of Meningioma is just slightly hyperdense to adjacent normal brain parenchyma on NCCT. This makes Meningiomas sometimes difficult to detect.
After iv contrast is given Meningioma shows typical homogeneous intensive contrast enhancement. This is our standard C35 W70 brain CT window.
However note that tumor delineation is much better on a broader CT window with higher center value of C50 W150. This setting is also useful for detection of hemorrhage and pathology in the skull base region, especially after iv contrast.



