Persistent Trigeminal Artery
3D reconstructions of the CT Angiography show large Persistent Trigeminal Artery (PTA) (arrows). Second image is in dorsal tilt and third in even more tilt with anterior cerebral arteries facing upwards. In such projection the last image shows where PTA enters cavernous sinus. Also note M2 segment stenosis on the contralateral side (arrowhead).
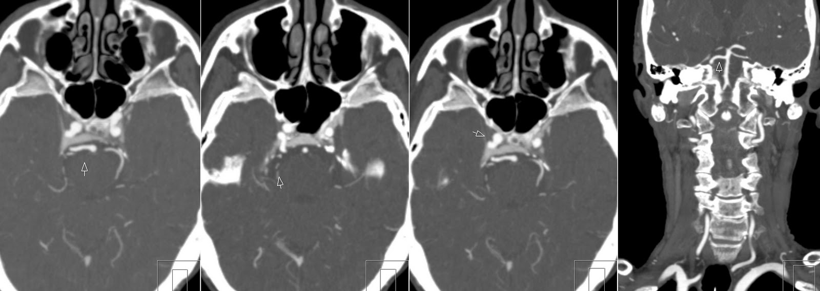
CT Angio images show how PTA exits basilary artery, enters cavernous sinus and anastomoses with internal carotid artery.
Persistent Trigeminal Artery represents carotid-vertebrobasilar anastomosis connecting basilar artery with internal carotid artery (ICA). Reported incidence is 0.1–0.6%. There are two types: Saltzman 1 (this case) with absent posterior communicating artery. And Saltzman type 2 when ipsilateralt posterior cerebral (PCA) artety arises directly from ICA and P1 segment is absent (fetal origin of PCA).
Interesting article: Akira Uchino - MR Angiography of Anomalous Branches of the Internal Carotid Artery
CT Angio images show how PTA exits basilary artery, enters cavernous sinus and anastomoses with internal carotid artery.
Persistent Trigeminal Artery represents carotid-vertebrobasilar anastomosis connecting basilar artery with internal carotid artery (ICA). Reported incidence is 0.1–0.6%. There are two types: Saltzman 1 (this case) with absent posterior communicating artery. And Saltzman type 2 when ipsilateralt posterior cerebral (PCA) artety arises directly from ICA and P1 segment is absent (fetal origin of PCA).
Interesting article: Akira Uchino - MR Angiography of Anomalous Branches of the Internal Carotid Artery

